Rabiot su Instagram: “Ecco com’è finita la duecentesima oggi…”
di Francesco Soccavo
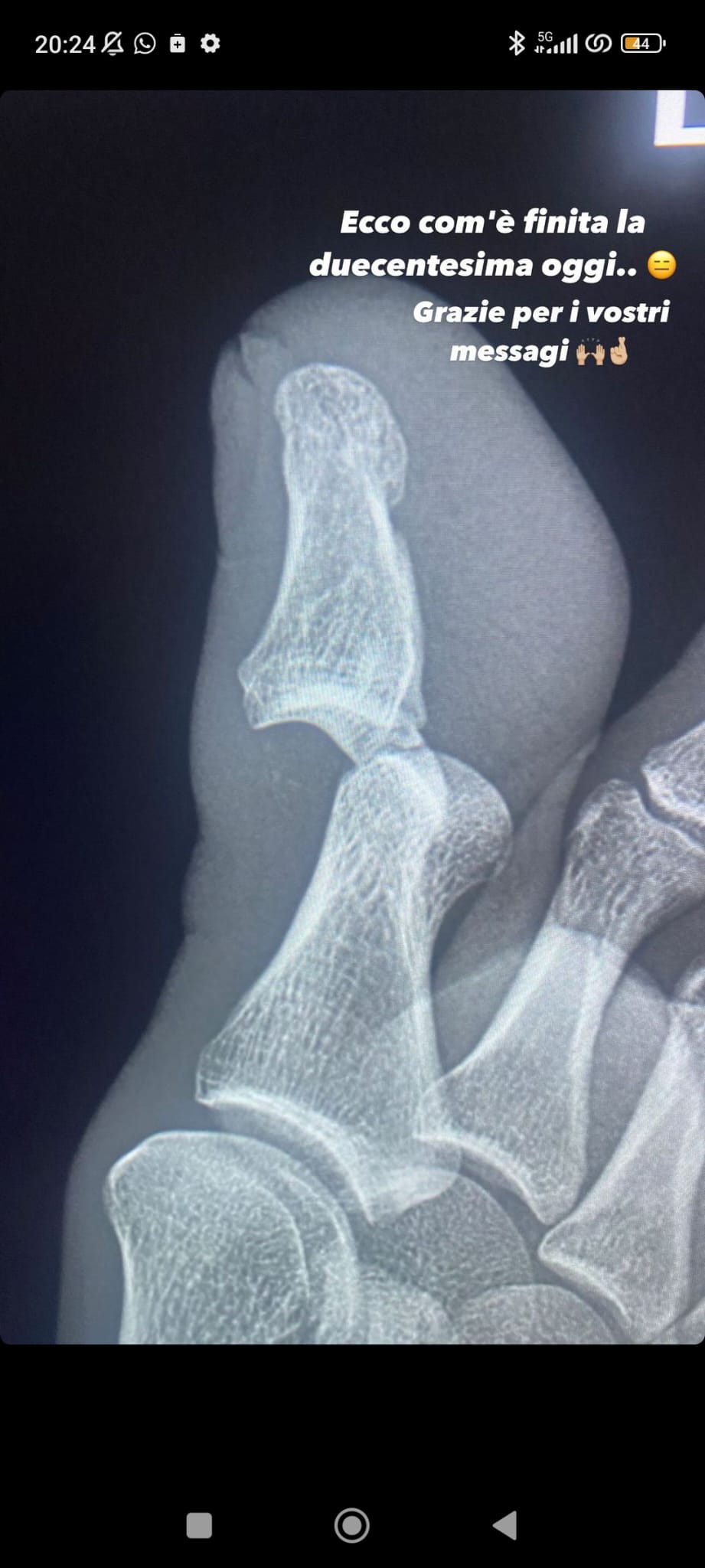
Una duecentesima presenza con la maglia della Juventus senza dubbio non da incorniciare per Adrien Rabiot. Il centrocampista francese, infatti, è stato costretto a lasciare il campo al 29' del primo tempo dopo un contrasto con Bremer che gli ha provocato una lussazione al dito del piede. Lo stesso Rabiot, poi, ha voluto ironizzare il fatto sul suo profilo Instagram, postando un immagine della lastra e ringraziando i tifosi bianconeri per i messaggi di vicinanza
"Ecco com'è finita la duecentisima oggi.... Grazie per i vostri messaggi", ha scritto il centrocampista francese.
Altre notizie
Lunedì 22 dicembre
Domenica 21 dicembre
PUBBLICITÀ